New study enables a key step toward personalized medicine: modeling biological...
A new study by the Oregon State University College of Engineering shows that machine learning techniques can offer powerful new tools for advancing personalized...
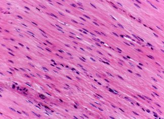
Key to reversible muscle elasticity discovered
The protein titin has been found to be the key to reversible muscle elasticity according to a report by Columbia University biological sciences professor...
Study: Experimental treatment with enzyme protects mice from lethal anthrax infection
Scientists have demonstrated that modifying an enzyme produced by the bacterium that causes anthrax can protect mice from infection with the deadly disease. Their...
Study: Stem-cell breakthrough could preserve diverse livestock breeds
When Vimal Selvaraj’s uncle first imported Holstein semen to start his dairy farm in India in the early 1990s, he was hailed as a...
Fighting off hypoglycemia with glucose tablets
Hypoglycemia is always a concern for diabetics whose sugar may tend to drop hard fast. It is clinically defined as when the blood glucose...
Scientist to lead North American study on a new treatment for...
Pediatrician and University of Calgary researcher, Dr. Stephen Freedman, MD, the Alberta Children’s Hospital Foundation Professor in Child Health and Wellness, will lead a...
New research: Early psychosis program makes recovery a reality for young...
New research by Orygen, Australia's centre of excellence in youth mental health, has shown that early psychosis programs delivered in Australian headspace centres significantly...
Genetic mutation discovered that gives scorpions their sting
Dr. Shunyi Zhu and colleagues from the Chinese Academy of Sciences in Beijing, China published the first derivation of the evolution of the toxin...
Research reveals how bacterial pathogen adapts to nutritional stress
In order to cause disease, the human pathogen Staphylococcus aureus must adapt to the changing host environment. Many of these adaptations are mediated through...
Survey: 1 in 10 cardiology trainee doctors in UK say they...
One in 10 junior doctors training to be cardiologists in the UK, say they have been bullied, reveal the results of a survey published...













