Giant Eagle COVID Vaccine: Here’s the latest on how to schedule...
                Giant Eagle is hosting a one-day mass vaccination clinic on Friday.
The clinic will take place at the Educational Service Center (ESC) of Northeast Ohio...            
            
        Scientists develop handheld test for chronic kidney disease
                Scientists at the University of Manitoba have developed a credit card-sized device to test for chronic kidney disease so compact and inexpensive that patients...            
            
        Publix COVID-19 Vaccine Appointments: Vaccination online reservation system to remain open
                In all seven states in which Publix operates, the company’s online reservation system will remain continuously open to book available appointments to receive the...            
            
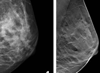
        Study: Fewer breast cancer cases between screening rounds with 3D-mammography
                3D-mammography reduces the number of breast cancer cases diagnosed in the period between routine screenings, when compared with traditional mammography, according to a large...            
            
        Study: Underweight and overweight women at higher risk of successive miscarriages
                A new study has shown that underweight and overweight women are at a significantly higher risk of experiencing recurrent miscarriages compared to those of...            
            
        The Internet brings people into big cities, says study
                The widespread proliferation of the internet and information and communication technologies (ICT) has drawn people into urban centres, according to new research.
Despite being able...            
            
        CVS Covid Vaccine Registration: Pharmacy adding more locations that offer COVID-19...
                In an ongoing effort to expand access to COVID-19 vaccines and help the country move forward from the pandemic, CVS Health (NYSE: CVS) today...            
            
        Walgreens Covid Vaccine Registration: Select pharmacies on Oahu now offering COVID-19...
                Walgreens announced today that select pharmacies on Oahu are currently offering COVID-19 vaccines to patients who are eligible under Phase 1c of the state...            
            
        Ingles Covid Vaccine Registration: Book your vaccination appointment
                Ingles Markets, Incorporated (NASDAQ: IMKTA) announces that all 111 of the Company’s pharmacy locations have provided COVID-19 vaccinations to their communities.  Ingles is actively...            
            
        Study: Apt analogies help veteran convey his HIV research
                But HIV is a tricky virus. It can adapt to your current medication, causing your infection to worsen and eventually become fatal.
Luckily this can...            
            
        
            












