Walgreens COVID Vaccine registration : Scheduling 3rd dose Appointments
Walgreens is offering a third dose of the Pfizer and Moderna coronavirus vaccine to certain immunocompromised people.
Currently, the Center for Disease Control is recommending the...
Inspired by bacteria and sperm, researchers make micro-robot swimmers
Researchers at Cornell University have created cell-size robots that can be powered and steered by ultrasound waves. Despite their tiny size, these micro-robotic swimmers...
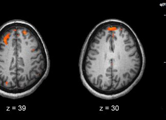
Study: Could a novel light therapy help people with Alzheimers?
Alzheimer’s disease is a mind-robbing brain disorder that affects nearly 6.2 million older Americans. Despite decades of research on high-tech drugs, diets, and crossword...
New research results support eliminating the term “schizophrenic” from clinical practice
New research published in the Journal of Counseling & Development found a difference in tolerance toward individuals with schizophrenia depending on whether mental health...
A sedentary lifestyle can lead to more nighttime hot flashes, says...
Hot flashes, one of the most common symptoms of the menopause transition, not only interfere with a woman’s quality of life, but are also...
Researchers find a new way to reverse immune suppression in tumors
Malignant tumors can enhance their ability to survive and spread by suppressing antitumor immune cells in their vicinity, but a study led by researchers...
For the first time, stroke research reveals optimal timing and intensity...
A phase II, randomized clinical trial found that the optimal period for intensive rehabilitation of arm and hand use after a stroke should begin...
Research shows increases in smoking and vaping in Irish teens
For the first time in 25 years, rates of smoking among teenage boys in Ireland are increasing, according to a study published in ERJ...
More than 40 percent of adults with no known heart disease...
More than 40% of adults ages 50 to 64 years in Sweden without known heart disease were found to have some degree of atherosclerosis,...
Study: Immunotherapy prolongs survival in recurrent, persistent or metastatic cervical cancer
The addition of immunotherapy to standard first-line treatment extends survival by eight months for patients with recurrent, persistent or metastatic cervical cancer, according to...













