Walgreens New Omicron COVID Booster Shots: Scheduling Your Vaccine Appointment
New COVID booster shots could be coming, aimed at targeting the omicron variant and the BA.5 subvariant currently dominating cases in the U.S.
The U.S....
Gene accounts for 3% of intelligence differences, study suggests
A recent study conducted by researchers at the University of California has found a gene which they believe is responsible for IQ differences up...
New Study Suggests Possible Link Between Bone Loss and Asthma
Andrew Lane, president of Lane Labs—a company that specializes in unique natural supplements and topicals— has called attention a new study that suggest there...
Gene may improve learning and memory, study suggests
A recent study published in the Proceedings of the National Academy of Sciences suggests that over-expressing a gene may result in neurogenesis in the...
The most powerful and effective herbal remedies for bacterial overgrowth
Manalapan health Examiner Stacey Chillemi researched a variety of recent studies on alternative methods and herbal supplements that have been used for centuries to...
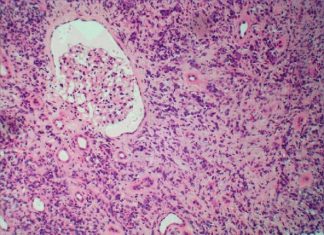
New blood test helps in identifying cause of MGN kidney disease
The EUROIMMUN Anti- PLA2R IFA, the first blood test to help determine if a specific type of kidney disease, called membranous glomerulonephritis (MGN), is...
Study: Brains of female autists differ from those of male autists
Recent research published by scientists from the Autism Research Centre at the University of Cambridge suggests that autism has distinct neurological correlates in males...
Pregnancy associated with right-brain activity, study suggests
A recent study published by researchers from the University of London and presented at the British Psychological Society, suggests that "pregnant women use the...
Some narcissistic people capable of empathy, study finds
According to a recent study conducted by researchers from the University of Southampton and the University of Surrey, some patients diagnosed with 'subclinical' levels...
Study sheds light on why we sabotage our own happiness
A recent study published in Springer's Journal of Happiness Studies by Mohsen Joshando and Dan Weijers of the Victoria University of Wellington is the...
Impulsive behavior linked to genes, study suggests
A recent study suggests that "a genetic variant of a brain receptor molecule may contribute to violently impulsive behavior when people who carry it...
Effort more important than IQ in math, study finds
According to a recent study published in the journal Child Development, one's motivation and one's study habits are much more important factors in determining...















