Poop transplants shown to be safe
Fecal transplants that replace the microorganisms in a person infected with the bacterium Clostridium difficile have proven more successful than researchers and physicians hoped....
Workout fuel with hidden health benefits
You’ve made the commitment to get more active, but they key to keeping that promise — and actually seeing some return on your investment...
Have runs, will run: Tips for easing that race-day anxiety
“Any runner who denies having fears, nerves, or some other kind of disposition is a bad athlete, or a liar.” – 1950s British Olympian...
What you need to know about bariatric surgery
You may have already had bariatric surgery or you may be contemplating having the surgery done. Perhaps someone you know has had it and...
Babies who are exposed to peanut butter may not develop the...
Brenda Goodman, MA from WebMD Health News reported, that there has been a the rise in peanut butter allergies over the last 10 years.This...
Keep your family healthy by cleaning the litter box
Cats make wonderful pets, they are easy to care for and you can leave them alone for a few days without worrying about them....
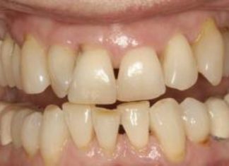
High blood sugar can cause gum disease in diabetics
Diabetes affects many organs in the body and your mouth cavity is no exception. The high sugar levels, create bacteria in the mouth that...
Stay Up-to-Date with Walgreens’ Second Bivalent COVID Booster Shots Scheduling Options
The virus that causes COVID-19 changes over time. Keep your protection against COVID-19 up to date by getting a Second bivalent COVID-19 vaccine booster...
Debunking male health myths
Today we will focus on male health. Many myths and half truths about men have been widely circulated. This article will examine these myths.
Myths...
Switchwords for depression and negative thoughts
A unique use for switchwords is to replace negative thoughts with switchword phrases. This is especially true for replacing negative thoughts which impact health,...
Are there really alternative treatments for PTSD? Find out here
Are there really alternative treatments for PTSD or is it wishful thinking? According to research, there are promising alternative treatments. The key may be...
Amazing health benefits of infared light therapy
Infrared light therapy restores health by means of color and radiant heat. Its history goes as far back as the Mayans. Near infrared bulbs...















